Появление кожных высыпаний порождает вполне закономерный вопрос: почему они возникли? На ум приходит один ответ, глядя на красные пятна которыми покрыто тело – это лишай. Но стоит не забывать, что присутствие на дерме красноватых пятен не всегда свидетельствует о том, что человек заболел кошачьим недугом. Хотелось бы также отметить, что клиническая картина многих заболеваний характеризуется наличием пятен на разных участках кожи, которые отличаются размером и цветовым оттенком.
Если на теле человека возникают пятнышки, происхождение которых не совсем понятно, нужно отчетливо понимать, что такие кожные новообразования могут проявляться вследствие различных факторов и причин:
- нехватка в организме витаминов,
- продолжительные переживания,
- аллергические реакции,
- заболевания бактериальной, грибковой или вирусной этиологии.
Это лишь небольшой перечень того, что может привести к появлению пятен на коже, похожих на лишай.
В тех случаях, когда присутствие пятнышек на теле человека вызывает приступы интенсивного зуда, проходящего при их расчесывании, то рекомендуется безотлагательно направиться за консультацией к специалисту. Важно помнить, что появление любых кожных высыпаний на эпидермисе должно быть тщательно исследовано, чтобы установить точный диагноз.
Для того чтобы правильно определить что послужило причиной появления пятен на коже, следует особое внимание уделить наличию таких симптомов, как:
- интенсивный зуд,
- наличие гиперемии,
- наличие воспалительных очагов, с частичным выпадением или обламыванием волос,
- обильное шелушение эпидермиса на месте патологического процесса,
- изменение цвета кожи на участке воспаления.
Вышеперечисленные симптомы могут свидетельствовать о наличии у человека как лишая, так и других заболеваний. Поэтому крайне важно, своевременно и правильно идентифицировать возбудителя инфекции, чтобы впоследствии подобрать наиболее эффективный метод терапии. Вовремя проведенные диагностические мероприятия и адекватное лечение, в максимально сжатые сроки помогут человеку избавиться от пятнышек на теле.
Лишай и другие кожные заболевания
Клинические признаки лишая имеют очень много сходств с разными болезнями, напрямую или косвенно поражающими эпидермис. Чтобы правильно идентифицировать ту или иную патологию, врачу необходимо произвести тщательное обследование пораженного участка тела, а также внимательно проанализировать полученные данные. Трудность заключается в том, что существует большое количество кожных недугов и других патологий, для которых характерны пятна на теле похожие на лишай.
Среди широкого многообразия особого внимания заслуживают:
экзема,
- вирусные заболевания (корь, оспа, ветрянка),
- венерические заболевания (начальная стадия сифилиса),
- различные формы дерматита,
- реакция иммунной системы на попадания в организм различных аллергенов с пищей или прямого воздействия на организм факторов внешней среды (солнце, химические вещества, шерсть животных, пыльца растений).
Если диагноз ставить исходя только из визуального осмотра кожных покровов пациента, то можно прийти к ложному заключению. Поэтому для более точного определения причин появления на коже пятен, врачи назначают ряд лабораторных исследований, позволяющих всесторонне изучить проблему и получить необходимые для специалиста данные.
Вернуться к оглавлению
Причины красных пятен на коже
Основными факторами и причинами появления кожных воспалительных новообразований часто являются следующие состояния:
- Нарушение работы желудочно-кишечного тракта. Активность защитных свойств организма имеет прямое отношение к нормальному функционированию пищеварительной системы. Большое количество витаминов, различных микроэлементов, белков, аминокислот и других полезных и необходимых веществ попадают в организм через рот и усваиваются с помощью органов пищеварительной системы. Хронические гастриты или язвенные состояния, благоприятствуют развитию разных кожных патологий. Правильный и сбалансированный рацион питания с отказом от вредных привычек, надежно защитит организм от развития кожного недуга.
- Любое травмирование кожи является идеальным условием для проникновения инфекции с последующим развитием патологического процесса, проявляющегося в виде пятнышек на разных участках дермы. Наличие микротравм на эпидермисе способствует беспрепятственному попаданию патогенных бактерий в организм и развитию лишая или других болезней. В норме, кожа выполняет защитную функцию. Потому крайне важно, при любом травмировании кожи проводить антисептическую обработку раны чтобы свести к минимуму риск возможного развития инфекционных болезней.
- Присутствие на дерме очагов воспалительного процесса способствует тому, что в организм человека спокойно могут попадать возбудители разных, опасных инфекционных заболеваний. Во многих случаях лишай диагностируется в совокупности с несколькими, параллельно протекающими патологиями. Для активной жизнедеятельности вредоносных бактерий, грибов или вирусов должны возникнуть благоприятные условия. Влажность кожных покровов на фоне повышенного потоотделения, несоблюдение правил личной гигиены, ослабление иммунитета в результате постоянного переохлаждения являются факторами позволяющие патогенным микроорганизмам проявлять свою губительную для здоровья человека активность.
- Образование пятен на эпидермисе часто сопровождается приступами сильного зуда с небольшими болевыми ощущениями и покраснением прилегающей участков кожи. Подобные симптомы, помимо лишая могут обнаруживаться при чесотке, вызываемой паразитом – чесоточным клещом. В результате своей деятельности клещ в коже проделывает себе ходы, которые во многих случаях можно определить при визуальном осмотре. Принимая во внимания высокую степень опасности и заразности этого недуга, при первых симптомах будет разумно обратиться за помощью к врачу.
Не стоит забывать о том, что нарушение деятельности эндокринной системы, наследственная предрасположенность к определенным болезням в сочетании с резким ухудшением деятельности иммунной системы также могут служить причиной появления на коже пятен похожих на лишай.
Вернуться к оглавлению
Лишай
В качестве основного патогена любой формы лишая выступает грибковая инфекция, которая попадает в организм человека несколькими путями:
- непосредственный контакт человека со средой, где находится источник болезни (земля),
- прямой контакт с зараженным животным (кошка, собака, корова),
- возбудитель кожного недуга может передаваться от инфицированного человека к здоровому.
На сегодняшний день в современной медицине выделяют следующие формы лишая:
стригущий,
- опоясывающий,
- красный,
- белый лишай,
- разноцветный лишай,
- лишай Жибера (розовый).
При этом стоит отметить, что пятнышки на коже могут появляться на разных участках тела, но чаще всего обнаруживаются на спине, животе, груди, шеи, на голове, а также на верхних и нижних конечностях.
Вернуться к оглавлению
Стригущий лишай
Стригущий лишай – это собирательное название для таких патологических процессов, как микроспория и трихофития.
Микроспория является, довольно распространенной грибковой болезнью при этой болезни происходит пагубное воздействие грибковой инфекции на структуру волос и кожных покровов. Согласно статистике, дети являются более восприимчивы к микроспории в отличие от взрослых. Характерной особенностью является тот факт, что кроме устойчивости иммунной системы взрослого человека к губительному действию грибка, при заражении организм самостоятельно избавляется от патологии.
Этот феномен объясняется присутствием в волосах взрослого человека большого количества органических кислот, которые подавляют жизнедеятельность грибковой инфекции. Заражение происходит вследствие контакта ребенка с источником инфекции, которым в большинстве случаев выступаю кошки, болеющие стригущим лишаем.
Наиболее подвержены недугу дети в возрасте от 4 до 12 лет. Очаг воспаления, чаще всего находится в области висков, темени или макушки головы. Воспалительный очаг имеет сферическую форму с четко выраженными границами, не превышающие в диаметре 5 см. К шелушению эпидермиса, спустя несколько дней, добавляется ломкость и хрупкость волос с последующим их обламыванием и образованием пеньков. При визуальном осмотре кожные покровы в области поражения слегка воспалены, что проявляется отечностью, гиперемией и образованием чешуек серого цвета. Иногда, стригущий лишай осложняется присоединением гнойной инфекции.
Трихофития также поражает кожу волосистую часть головы. Источником заболевания может служить человек или вещи, с которыми он контактировал. Этот микоз широко распространен в сельской местности, где источником заражения являются грызуны и крупнорогатый скот. Очаг воспаления в диаметре 2 см в характерном отсутствии четко выраженных границ. Лечение стригущего лишая осуществляют с помощью противогрибковых мазей в сочетании с комплексом санитарно-гигиенических мероприятий. В запущенных случаях с целью снять воспаления могут поменяться препараты на основе гормонов.
Вернуться к оглавлению
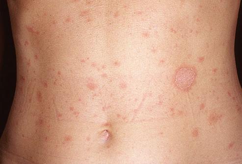
Розовый лишай

Основные симптомы розового лишая проявляются следующим образом:
- образование на участке кожи пятна розового оттенка, округлой формы размером до 5 см,
- эпидермис в центре воспаления, отличается чрезмерной сухостью с последующим обильным шелушением,
- по мере развития болезни, отмечается появление новых пятен с поэтапным распространением на другие участки кожи,
- наличие интенсивного зуда.
При диагностировании этой формы лишая, врач назначает комплексную терапию, включающую применение антигистаминных препаратов, витаминов, а также мазей и кремов противовоспалительного и противозудного действия. Помимо этого, пациенту необходимо свести к минимуму использование различных косметических средств, а также временно прекратить посещать сауны, бассейны и солярии.
Вернуться к оглавлению
Разноцветный лишай
Источником этого вида микоза служит патогенный гриб.
Предрасполагающими факторами развития болезни считаются:
- изменение гормонального баланса,
- повышенная потливость,
- чрезмерная активность сальных желез,
- прямое воздействие ультрафиолетовых лучей.
Наиболее излюбленным местом обитания разноцветного лишая является область спины, живота, груди и плечей. Этот микоз в отличие от многих своих собратьев не представляет угрозы для окружающих, так как не передается от человека к человеку.
Основными клиническими признаками недуга являются:
- образование на поверхности кожи внушительного размера пятен с небольшим шелушением,
- при отсутствии эффективной терапии мелкие очаги патологии имеют тенденцию сливаться в более крупные образования,
- очаг пораженной кожи может быть коричневого цвета или зеленоватого оттенка, чем и обусловлено название болезни – цветной лишай,
- течение заболевания может иметь затяжной характер, а иногда достигать 2 лет.
Наружное применение противогрибковых препаратов в совокупности с гигиеническими средствами, имеющие своей целью нормализовать кислотно-щелочной баланс кожи, считаются основными и эффективными средствами лечения цветного лишая. После того как пациент вылечился, для придания однородного цвета кожи, врачи советуют использовать солнечные ванные. Загар поможет восстановить ровный цвет кожных покровов тела.
Вернуться к оглавлению
Опоясывающий лишай
Патология, вызываемая вирусом герпеса, активно действующим на фоне различных стрессов, снижения деятельности защитных свойств организма и сопутствующих инфекционных заболеваний. Недуг локализуется в области ребер. Основными симптомами является зуд и боль в межреберной области. Со временем на коже появляются высыпания в виде пузырей с жидким содержимым, которые имеют склонность лопаться с образованием корочки. Является очень заразной формой лишая.
Вернуться к оглавлению
Красный лишай
Возбудитель этого недуга неизвестен. Существует предположение, что причиной патологии может быть вирусная деятельность, стрессовые ситуации или иммунные реакции организма. Чаще всего отмечается у женщин, страдающих сахарным диабетом или хроническими заболеваниями пищеварительной системы. При визуальном осмотре на коже обнаруживаются красноватого цвета многочисленные скопления в виде плоских узелков. Человека беспокоит зуд. Будучи не заразной формой, угрозы для окружающих не представляет.
Вернуться к оглавлению
Белый лишай
Являясь хроническим заболеванием, проявляется в виде образования на коже лица и верхних конечностей пятен без четких контуров, белого цвета, достигающих в размере 3 см. Белый лишай не вызывает никаких неудобств так, как отсутствует зуд.
Необходимо усвоить одно — появление пятен похожих на лишай может свидетельствовать не только о том, что человек болеет микозом, но и о наличии других болезней со сходной симптоматикой. Поэтому лучше не заниматься самостоятельной установкой диагноза и самолечением, а следует обратиться за профессиональной консультацией к дерматологу.

экзема,
стригущий,